Irritation fibroma
An irritation fibroma is a fibrous nodule of the oral cavity, often considered to be a reactive hyperplasia secondary to trauma or other local sources of irritation.[1]
| Irritation fibroma | |
|---|---|
| Other names | Oral fibroma, traumatic fibroma, focal fibrous hyperplasia |
![]() | |
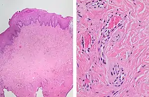
| Histopathology of irritation fibroma. Low magnification (left) characteristically[1] shows a nonencapsulated nodular mass. High magnification (right) shows fibrous connective tissue with collagen bundles, and some blood vessels and fibroblasts. | |
| Specialty | Gastroenterology |
| Symptoms | Palpable nodule |
References
- Molly Housley Smith, D.M.D. "Oral cavity & oropharynx - Soft tissue tumors & proliferations - Irritation fibroma". pathology Outlines. Topic Completed: 26 October 2020. Minor changes: 26 October 2020
This article is issued from Wikipedia. The text is licensed under Creative Commons - Attribution - Sharealike. Additional terms may apply for the media files.
