Hilum overlay sign
The hilum overlay sign is an imaging appearance on chest radiographs in which the outline of the hilum can be seen at the level of a mass or collection in the mid chest.[1] It implies that the mass is not in the middle mediastinum, and is either from anterior or posterior mediastinum(most of the masses arise from the anterior mediastinum).[2]

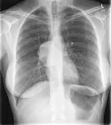
This PA chest radiograph demonstrates an abnormal contour in the right hilar region, with visualization of the pulmonary vessels through the mass (the hilar overlay sign) indicating its posterior mediastinal location. On resection this was found to be a benign solitary fibrous tumor of the pleura.
See also
References
- Whitten, CR; Khan, S; Munneke, GJ; Grubnic, S (May 2007). "A diagnostic approach to mediastinal abnormalities". Radiographics. 27 (3): 657–71. doi:10.1148/rg.273065136. PMID 17495284.
- Feragalli, B; Mantini, C; Patea, RL; De Filippis, F; Di Nicola, E; Storto, ML (June 2011). "Radiographic evaluation of mediastinal lines as a diagnostic approach to occult or subtle mediastinal abnormalities". La Radiologia Medica. 116 (4): 532–47. doi:10.1007/s11547-011-0658-9. PMID 21424313.
This article is issued from Wikipedia. The text is licensed under Creative Commons - Attribution - Sharealike. Additional terms may apply for the media files.