Granulovacuolar degeneration
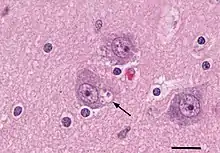
Granulovacuolar degeneration refers to the occurrence within neurons of abnormal, fluid-filled bubbles (vacuoles) containing a dense proteinaceous granule.[1] Granulovacuoles occur most commonly in pyramidal neurons of the hippocampus. They are present in small numbers in non-demented elderly people, but increase in frequency in Alzheimer's disease and other tauopathies.[2] In Alzheimer's disease, granulovacuoles proliferate stage-wise in different brain areas, and their prevalence is correlated with the degree of tauopathy, Abeta plaque pathology, and cerebral amyloid angiopathy.[2] Immunohistochemical analyses have found that the inner granule includes several proteins, including tubulin[3] tau protein, TDP-43 and others.[2] Although granulovacuoles and their functional significance are still poorly understood, they have been compared to autophagic vacuoles [4]

References
- Adams, J. Hume; Corsellis, J.A.N.; Duchen, L.W. (1984). Greenfield's Neuropathology (4th ed.). New York: John Wiley and Sons. pp. 24, 966–967. ISBN 0-471-82307-4.
- Thal DR; Del Tredici K; Ludolph AC; Hoozemans JJM; Rozemuller AJ; Braak H; Knippschild U (2011). "Stages of granulovacuolar degeneration: their relation to Alzheimer's disease and chronic stress response". Acta Neuropathologica. 122 (5): 577–589. doi:10.1007/s00401-011-0871-6. PMID 21935637.
- Price DL; Altschuler RJ; Struble RG; Casanova MF; Cork LC; Murphy DB (1986). "Sequestration of tubulin in neurons in Alzheimer's disease". Brain Research. 385 (2): 305–310. doi:10.1016/0006-8993(86)91077-2. PMID 3096492.
- Köhler C (2016). "Granulovacuolar degeneration: a neurodegenerative change that accompanies tau pathology". Acta Neuropathologica. 132 (3): 339–359. doi:10.1007/s00401-016-1562-0. PMID 27062260.