Granulomatous prostatitis
Granulomatous prostatitis is an uncommon disease of the prostate, an exocrine gland of the male reproductive system.[1] It is a form of prostatitis (prostate inflammation), resulting from infection (bacterial, viral, or fungal), BCG vaccine, malacoplakia or systemic granulomatous diseases which involve the prostate.
| Granulomatous prostatitis | |
|---|---|
![]() | |
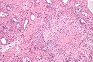
| Micrograph showing a granulomatous prostatitis due to BCG treatment for bladder cancer. H&E stain. | |
| Specialty | Urology |
Pathogenesis
Prostatic secretions escape into the stroma and elicit an inflammatory response.
Histopathology
Noticeable destruction of Acini, surrounded by epitheloid cells, giant cells, lymphocytes, plasma cells and dense fibrosis.
References
- "Granulomatous prostatitis (Concept Id: C0018204) - MedGen - NCBI". www.ncbi.nlm.nih.gov. Retrieved 6 May 2021.
External links
This article is issued from Wikipedia. The text is licensed under Creative Commons - Attribution - Sharealike. Additional terms may apply for the media files.
