Gandy–Gamna nodules
Gandy–Gamna nodules or Gandy-Gamna bodies, sometimes known as Gamna-Gandy bodies or Gamna-Gandy nodules, are small yellow-brown, brown, or rust-colored foci found in the spleen in patients with splenomegaly due to portal hypertension,[1] as well as sickle cell disease. They consist of fibrous tissue with haemosiderin and calcium deposits, and probably form due to scarring at sites of small perivascular haemorrhages.[2] They are visible on MRI scanning due to the presence of haemosiderin.[3]

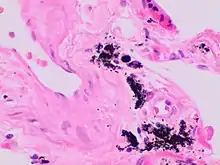
Micrograph of the spleen showing darkly stained, spheroid Gamna-Gandy bodies (arrows) outside the vessel wall at the center. Also shown is diffusely scattered, brown, granular hemosiderin pigment (arrowheads), indicating previous hemorrhage (hematoxylin & eosin staining, 40x magnification).

Gandy–Gamna nodules may also be seen in chronic pulmonary congestion.
They can also be seen in atrial myxomas.
They are named after Charles Gandy and Carlos Gamna.
References
- Kuntz, Erwin; Kuntz, Hans-Dieter (11 March 2009). Hepatology: Textbook and Atlas. Springer Science & Business Media. p. 253. ISBN 9783540768395.
Prolonged portal hypertention sometimes leads to the formation of Gamna-Gandy nodules.
- Gandy-Gamna bodies at Mondofacto online medical dictionary
- Sagoh T, Itoh K, Togashi K, Shibata T, Nishimura K, Minami S, Asato R, Noma S, Fujisawa I, Yamashita K (1989). "Gamna-Gandy bodies of the spleen: evaluation with MR imaging". Radiology. 172 (3): 685–7. doi:10.1148/radiology.172.3.2672093. PMID 2672093.
{{cite journal}}: CS1 maint: multiple names: authors list (link)
This article is issued from Wikipedia. The text is licensed under Creative Commons - Attribution - Sharealike. Additional terms may apply for the media files.