Faggot cell
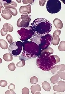
Faggot cells are cells normally found in the hypergranular form of acute promyelocytic leukemia (FAB - M3). These promyelocytes (not blast cells) have numerous Auer rods in the cytoplasm which gives the appearance of a bundle of sticks, from which the cells are given their name.[1][2]

A faggot cell (bottom left of the central cell cluster) with a prominent collection of Auer rods from a patient with acute promyelocytic leukemia.
See also
References
- Lichtman, Marshall A., Shafer, Jean A., Felgar, Raymond E., and Wang, Nancy. Lichtman's Atlas of Hematology.
- Kenneth D. McClatchey (2002). Clinical laboratory medicine. Lippincott Williams & Wilkins. pp. 909–. ISBN 978-0-683-30751-1. Retrieved 6 December 2011.
This article is issued from Wikipedia. The text is licensed under Creative Commons - Attribution - Sharealike. Additional terms may apply for the media files.