Combined small-cell lung carcinoma
Combined small cell lung carcinoma (or c-SCLC) is a form of multiphasic lung cancer that is diagnosed by a pathologist when a malignant tumor, arising from transformed cells originating in lung tissue, contains a component of;small cell lung carcinoma (SCLC), admixed with one (or more) components of any histological variant of non-small cell lung carcinoma (NSCLC) in any relative proportion.[1][2][3]
| Combined Small Cell Lung Carcinoma | |
|---|---|
| Other names | Combined small cell and nonsmall cell lung carcinoma; mixed small cell-large cell carcinoma, combined "oat cell" carcinoma (obsolete) |
![]() | |
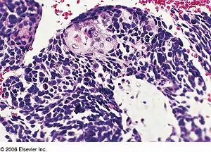
| Combined small cell lung carcinoma containing a component of squamous cell carcinoma | |
| Specialty | Oncology |
In order to ensure that patients receive the proper treatment, it is critical that the pathologist, when making a diagnosis of lung cancer, reports the finding of small cell carcinoma, regardless of other components, because small cell carcinoma is considered the most aggressive of all the lung cancer variants, and its treatment is normally radically different than the other forms of lung cancer (see below).
For epidemiological and statistical purposes, combined small cell carcinoma of the lung has been long classified as a subset of small cell carcinoma, and not as a subset of the other component carcinoma in the sample.
Classification
Lung cancer is a large and exceptionally heterogeneous family of malignancies.[4] Over 50 different histological variants are explicitly recognized within the 2004 revision of the World Health Organization (WHO) typing system ("WHO-2004"), currently the most widely used lung cancer classification scheme.[1] Many of these entities are rare, recently described, and poorly understood.[5] However, since different forms of malignant tumors generally exhibit diverse genetic, biological, and clinical properties — including response to treatment — accurate classification of lung cancer cases are critical to assuring that patients with lung cancer receive optimum management.[6][7]
Approximately 99% of lung cancers are carcinoma, a term that indicates that the malignant neoplasm is composed of, or descended from, cells of epithelial lineage (i.e. derived from embryonic endoderm, as is the case in lung carcinomas, or from ectoderm), and/or that the malignant cells exhibit tissue architectural, cytological, or molecular features characteristically found in epithelial cells.[8] Under WHO-2004, lung carcinomas are divided into 8 major taxa:[1]
- Squamous cell carcinoma
- Small cell carcinoma
- Adenocarcinoma
- Large cell carcinoma
- Adenosquamous carcinoma
- Sarcomatoid carcinoma
- Carcinoid tumor
- Salivary gland-like carcinoma
SCLC is generally considered to be the most aggressive of these major forms of lung cancer, with the worst long term prognosis and survival rates.[8] As a result, it is recommended that all multiphasic malignant lung tumors (i.e. those with more than one histological pattern) that are found to contain any proportion of SCLC cells should be classified as c-SCLC, and not as combined forms of any of the other histological variants present in the tumor.[1] Currently, the only exception to this recommendation occurs in cases where anaplastic large cell lung carcinoma (LCLC) is the second histological component. In these instances, a minimum of 10% of the viable malignant cells present must be identified as LCLC before the tumor is considered to be a c-SCLC.[1][9] Under the WHO-2004 classification scheme, c-SCLC is the only recognized variant of SCLC.[1]
Histogenesis
The exact mechanisms and histogenesis of lung cancers are topics of intense interest and research. It is currently thought that most cases of lung cancer probably occur after damage to genomic DNA causes malignant transformation of a single multipotent cell. This newly formed entity, sometimes referred to as a cancer stem cell, then begins to divide uncontrollably, giving rise to new daughter cancer cells in an exponential (or near exponential) fashion. Unless this runaway cell division process is checked, a clinically apparent tumor will eventually form as the mass reaches sufficient size to be detected clinically, or begins to cause signs or symptoms.[10] Approximately 98% of lung cancers are eventually diagnosed as a histological variant of carcinoma, a term that signifies that the tumor derives from transformed epithelial cells, or cells that have acquired epithelial characteristics as a result of cell differentiation.[8]
The histogenesis of c-SCLC and other multiphasic forms of lung cancer appear to be complex and varied phenomena. In most cases of c-SCLC, genomic and immunohistochemical studies suggest that the morphological divergence of the separate components occurs when a SCLC-like cell is transformed into a cell with the potential to develop NSCLC variant characteristics, and not vice versa. Daughter cells of this transdifferentiated SCLC-like cell then repeatedly divide and, under both intrinsic genomic and extrinsic environmental influences, acquire additional mutations (a process known as tumor progression). The result is that the tumor acquires specific cytologic and architectural features suggesting a mixture of SCLC and NSCLC.[11]
Other analyses suggest that, in at least in some cases, more highly differentiated variants of NSCLC (i.e. adenocarcinoma) can "progress" to give rise to areas within the primary (original) tumor (or its metastases) that develop histological and molecular characteristics of SCLC.[12]
Other molecular studies, however, suggest that — in at least a minority of cases — independent development of the components in c-SCLC occurs via mutation and transformation in two different cells in close spatial proximity to each other, due to field cancerization. In these cases, repeated division and mutational progression in both cancer stem cells generate a biclonal "collision tumor".[13][14]
Regardless of which of these mechanisms give rise to the tumor, recent studies suggest that, in the later stages of c-SCLC oncogenesis, continued mutational progression within each tumor component results in the cells of the combined tumor developing molecular profiles that more closely resemble each other than they do cells of the "pure" forms of the individual morphological variants.[15] This molecular oncogenetic convergence likely has important implications for treatment of these lesions, given the differences between standard therapeutic regimens for SCLC and NSCLC.
C-SCLC also occurs quite commonly after treatment of "pure" SCLC with chemotherapy and/or radiation, probably as a result of a combination of tumor genome-specific "progressional" mutations, stochastic genomic phenomena, and additional mutations induced by the cytotoxic therapy.[16][17][18][19]
The most common forms of NSCLC identified as components within c-SCLC are large cell carcinoma, adenocarcinoma, and squamous cell carcinoma.[2][4][20] Rarer variants of NSCLC are seen less commonly, such as combinations with carcinoids,[20] spindle cell carcinoma,[2][3] and giant cell carcinoma.[9] Giant cell carcinoma components are seen much more commonly in patients who have undergone radiation.[21][22][23] With the approval and use of newer "molecularly targeted" agents revealing differential efficacies in specific subtypes and variants of NSCLC, it is becoming more important for pathologists to correctly subclassify NSCLC's as distinct tumor entities, or as components of c-SCLC's.
Staging
Staging of c-SCLC patients is usually performed in an analogous fashion to patients with "pure" small cell lung carcinoma.
For several decades, SCLC has been staged according to a dichotomous distinction of "limited disease" (LD) vs. "extensive disease" (ED) tumor burdens.[24][25] Nearly all clinical trials have been conducted on SCLC patients staged dichotomously in this fashion.[26] LD is roughly defined as a locoregional tumor burden confined to one hemithorax that can be encompassed within a single, tolerable radiation field, and without detectable distant metastases beyond the chest or supraclavicular lymph nodes. A patient is assigned an ED stage when the tumor burden is greater than that defined under LD criteria — either far advanced locoregional disease, malignant effusions from the pleura or pericardium, or distant metastases.[27]
However, more recent data reviewing outcomes in very large numbers of SCLC patients suggests that the TNM staging system used for NSCLC is also reliable and valid when applied to SCLC patients, and that more current versions may allow better treatment decisionmaking and prognostication in SCLC than with the old dichotomous staging protocol.[24][28][29]
Treatment
A very large number of clinical trials have been conducted in "pure" SCLC over the past several decades.[26] As a result, evidence-based sets of guidelines for treating monophasic SCLC are available.[30][31] While the current set of SCLC treatment guidelines recommend that c-SCLC be treated in the same manner as "pure" SCLC, they also note that the evidence supporting their recommendation is quite weak.[31] It is likely, then, that the optimum treatment for patients with c-SCLC remains unknown.[20]
The current generally accepted standard of care for all forms of SCLC is concurrent chemotherapy (CT) and thoracic radiation therapy (TRT) in LD, and CT only in ED. For complete responders (patients in whom all evidence of disease disappears), prophylactic cranial irradiation (PCI) is also given. TRT serves to increase the probability of total eradication of residual locoregional disease, while PCI aims to eliminate any micrometastases to the brain.[31]
Surgery is not often considered as a treatment option in SCLC (including c-SCLC) due to the high probability of distant metastases at the time of diagnosis.[32] This paradigm was driven by early studies showing that the administration of systemic therapies resulted in improved survival as compared to patients undergoing surgical resection.[33][34][35] Recent studies, however, have suggested that surgery for highly selected, very early-stage c-SCLC patients may indeed improve outcomes.[36] Other experts recommend resection for residual masses of NSCLC components after complete local tumor response to chemotherapy and/or radiotherapy in c-SCLC.[37]
Although other combinations of drugs have occasionally been shown to be noninferior at various endpoints and in some subgroups of patients, the combination of cisplatin or carboplatin plus etoposide or irinotecan are considered comparable first-line regimens for SCLC.[31][38] For patients who do not respond to first line therapy, or who relapse after complete remission, topotecan is the only agent which has been definitively shown to offer increased survival over best supportive care (BSC),[31][39] although in Japan amirubicin is considered effective as salvage therapy.[39]
Importantly, c-SCLC is usually much more resistant to CT and RT than "pure" SCLC.[11][17][19][40][41][42] While the mechanisms for this increased resistance of c-SCLC to conventional cytotoxic treatments highly active in "pure" SCLC remain mostly unknown, recent studies suggest that the earlier in its biological history that a c-SCLC is treated, the more likely it is to resemble "pure" SCLC in its response to CT and RT.[15][16][17][18]
Targeted agents
In recent years, several new types of "molecularly targeted" agents have been developed and used to treat lung cancer. While a very large number of agents targeting various molecular pathways are being developed and tested, the main classes and agents that are now being used in lung cancer treatment include:[43]
- Epidermal growth factor receptor (EGFR) tyrosine kinase inhibitors (TKIs):[44]
- Inhibitors of vascular endothelial growth factor (VEGF)[48]
- Inhibitors of folate metabolism[50]
To date, most clinical trials of targeted agents, alone and in combination with previously tested treatment regimens, have either been ineffective in SCLC or no more effective than standard platinum-based doublets.[52][53][54][55] While there have been no randomized clinical trials of targeted agents in c-SCLC,[56] some small case series suggest that some may be useful in c-SCLC. Many targeted agents appear more active in certain NSCLC variants. Given that c-SCLC contains components of NSCLC, and that the chemoradioresistance of NSCLC components impact the effectiveness of c-SCLC treatment, these agents may permit the design of more rational treatment regimens for c-SCLC.[6][7][57]
EGFR-TKI's have been found to be active against variants exhibiting certain mutations in the EGFR gene.[58][59][60][61] While EGFR mutations are very rare (<5%) in "pure" SCLC, they are considerably more common (about 15–20%) in c-SCLC,[62][63] particularly in non-smoking females whose c-SCLC tumors contain an adenocarcinoma component. These patients are much more likely to have classical EGFR mutations in the small cell component of their tumors as well, and their tumors seem to be more likely to respond to treatment with EGFR-TKI's.[63][64][65] EGFR-targeted agents appear particularly effective in papillary adenocarcinoma,[66][67] non-mucinous bronchioloalveolar carcinoma,[68] and adenocarcinoma with mixed subtypes.[67]
The role of VEGF inhibition and bevacizumab in treating SCLC remains unknown. Some studies suggest it may, when combined with other agents, improve some measures of survival in SCLC patients[69][70] and in some non-squamous cell variants of NSCLC.[7][69][57]
Pemetrexed has been shown to improve survival in non-squamous cell NSCLC, and is the first drug to reveal differential survival benefit in large cell lung carcinoma.[7][71]
C-SCLC appear to express female hormone (i.e. estrogen and/or progesterone) receptors in a high (50–67%) proportion of cases, similar to breast carcinomas.[72] However, it is at present unknown whether blockade of these receptors affects the growth of c-SCLC.
Prognosis
Current consensus is that the long-term prognosis of c-SCLC patients is determined by the SCLC component of their tumor, given that "pure" SCLC seems to have the worst long-term prognosis of all forms of lung cancer.[8] Although data on c-SCLC is very sparse,[20] some studies suggest that survival rates in c-SCLC may be even worse than that of pure SCLC,[73][74] likely due to the lower rate of complete response to chemoradiation in c-SCLC, although not all studies have shown a significant difference in survival.[75]
Untreated "pure" SCLC patients have a median survival time of between 4 weeks and 4 months, depending on stage and performance status at the time of diagnosis.[31][35]
Given proper multimodality treatment, SCLC patients with limited disease have median survival rates of between 16 and 24 months, and about 20% will be cured.[31][35][76][77] In patients with extensive disease SCLC, although 60% to 70% will have good-to-complete responses to treatment, very few will be cured, with a median survival of only 6 to 10 months.[31][77]
Some evidence suggests that c-SCLC patients who continue to smoke may have much worse outcomes after treatment than those who quit.[78]
Incidence
Reliable comprehensive incidence statistics for c-SCLC are unavailable. In the literature, the frequency with which the c-SCLC variant is diagnosed largely depends on the size of tumor samples, tending to be higher in series where large surgical resection specimens are examined, and lower when diagnoses are based on small cytology and/or biopsy samples. Tatematsu et al. reported 15 cases of c-SCLC (12%) in their series of 122 consecutive SCLC patients, but only 20 resection specimens were examined.[62] In contrast, Nicholson et al. found 28 c-SCLC (28%) in a series of 100 consecutive resected SCLC cases.[9] It appears likely, then, that the c-SCLC variant comprises 25% to 30% of all SCLC cases.[30][11]
As the incidence of SCLC has declined somewhat in the U.S. in recent decades,[79] it is likely that c-SCLC has also decreased in incidence. Nevertheless, small cell carcinomas (including the c-SCLC variant) still comprise 15–20% of all lung cancers, with c-SCLC probably accounting for 4–6%.[80] With 220,000 cases of newly diagnosed lung cancer in the U.S. each year, it can be estimated that between 8,800 and 13,200 of these are c-SCLC.[81]
In a study of 408 consecutive patients with SCLC, Quoix and colleagues found that presentation as a solitary pulmonary nodule (SPN) is particularly indicative of a c-SCLC — about 2/3 of their SPN's were pathologically confirmed to be c-SCLC's containing a large cell carcinoma component.[82]
Significance
In terms of case numbers, the estimated 8,800 to 13,200 c-SCLC cases occurring annually in the U.S. makes this disease roughly comparable in incidence to Hodgkin's Disease (8,500), testicular cancer (8,400), cervical cancer (11,300), and cancers of the larynx (12,300).[81] However, these four "better-known" cancers all have exceptionally high (85%-95%) cure rates. In contrast, less than 10% of c-SCLC patients will be cured, and thus the number of annual cases of c-SCLC is a reasonable approximation of the annual number of deaths. Therefore, given the significant incidence and mortality attributable to this malignancy,[83] (see Prognosis and survival) it is arguably critical to better understand these aggressive lesions so specific strategies for their management can be rationally designed.[6][7][84]
However, as patients with tumors containing mixtures of histological subtypes are usually excluded from clinical trials,[85] the properties of multiphasic tumors like c-SCLC are much less well understood than those of monophasic tumors.[20] C-SCLC contains both SCLC and NSCLC by definition, and since patients with SCLC and NSCLC are usually treated differently, the lack of good data on c-SCLC means there is little evidence available with which to form consensus about whether c-SCLC should be treated like SCLC, NSCLC, or uniquely.[31]
References
- Travis WD, Brambilla E, Muller-Hermelink HK, Harris CC, eds. (2004). Pathology and Genetics of Tumours of the Lung, Pleura, Thymus and Heart (PDF). World Health Organization Classification of Tumours. Lyon: IARC Press. ISBN 978-92-832-2418-1. Archived from the original (PDF) on 23 August 2009. Retrieved 27 March 2010.
- Gotoh M, Yamamoto Y, Huang CL, Yokomise H (November 2004). "A combined small cell carcinoma of the lung containing three components: small cell, spindle cell and squamous cell carcinoma". Eur J Cardiothorac Surg. 26 (5): 1047–9. doi:10.1016/j.ejcts.2004.08.002. PMID 15519208.
- Fouad Ismail M, Mowafy AA, Sameh SI (April 2005). "A combined small cell carcinoma of the lung containing three components: small cell, spindle cell and squamous cell carcinoma, revisited". Eur J Cardiothorac Surg. 27 (4): 734, author reply 735. doi:10.1016/j.ejcts.2005.01.003. PMID 15784404.
- Roggli VL, Vollmer RT, Greenberg SD, McGavran MH, Spjut HJ, Yesner R (June 1985). "Lung cancer heterogeneity: a blinded and randomized study of 100 consecutive cases". Hum. Pathol. 16 (6): 569–79. doi:10.1016/S0046-8177(85)80106-4. PMID 2987102.
- Brambilla E, Travis WD, Colby TV, Corrin B, Shimosato Y (December 2001). "The new World Health Organization classification of lung tumours". Eur. Respir. J. 18 (6): 1059–68. doi:10.1183/09031936.01.00275301. PMID 11829087. S2CID 3108488.
- Rossi G, Marchioni A, Sartori1 G, Longo L, Piccinini S, Cavazza A (2007). "Histotype in non-small cell lung cancer therapy and staging: The emerging role of an old and underrated factor". Curr Respir Med Rev. 3: 69–77. doi:10.2174/157339807779941820. S2CID 52904357.
{{cite journal}}: CS1 maint: multiple names: authors list (link) - Vincent MD (August 2009). "Optimizing the management of advanced non-small-cell lung cancer: a personal view". Curr Oncol. 16 (4): 9–21. doi:10.3747/co.v16i4.465. PMC 2722061. PMID 19672420.
- Travis WD, Travis LB, Devesa SS (January 1995). "Lung cancer". Cancer. 75 (1 Suppl): 191–202. doi:10.1002/1097-0142(19950101)75:1+<191::AID-CNCR2820751307>3.0.CO;2-Y. PMID 8000996. S2CID 34718856.
- Nicholson SA, Beasley MB, Brambilla E, et al. (September 2002). "Small cell lung carcinoma (SCLC): a clinicopathologic study of 100 cases with surgical specimens". Am. J. Surg. Pathol. 26 (9): 1184–97. doi:10.1097/00000478-200209000-00009. PMID 12218575. S2CID 2198733.
- Croce CM (January 2008). "Oncogenes and cancer". N. Engl. J. Med. 358 (5): 502–11. doi:10.1056/NEJMra072367. PMID 18234754. S2CID 8813076.
- Wagner PL, Kitabayashi N, Chen YT, Saqi A (March 2009). "Combined small cell lung carcinomas: genotypic and immunophenotypic analysis of the separate morphologic components". Am. J. Clin. Pathol. 131 (3): 376–82. doi:10.1309/AJCPYNPFL56POZQY. PMID 19228643.
- Alam N, Gustafson KS, Ladanyi M, et al. (September 2010). "Small-cell carcinoma with an epidermal growth factor receptor mutation in a never-smoker with gefitinib-responsive adenocarcinoma of the lung". Clin Lung Cancer. 11 (5): E1–4. doi:10.3816/CLC.2010.n.046. PMID 20837450.
- Buys TP, Aviel-Ronen S, Waddell TK, Lam WL, Tsao MS (February 2009). "Defining genomic alteration boundaries for a combined small cell and non-small cell lung carcinoma". J Thorac Oncol. 4 (2): 227–39. doi:10.1097/JTO.0b013e3181952678. PMID 19179901. S2CID 24769703.
- Knudson AG (November 2001). "Two genetic hits (more or less) to cancer". Nat. Rev. Cancer. 1 (2): 157–62. doi:10.1038/35101031. PMID 11905807. S2CID 20201610.
- D'Adda T, Pelosi G, Lagrasta C, et al. (April 2008). "Genetic alterations in combined neuroendocrine neoplasms of the lung". Mod. Pathol. 21 (4): 414–22. doi:10.1038/modpathol.3801014. PMID 18204434. S2CID 6595074.
- Morinaga R, Okamoto I, Furuta K, et al. (December 2007). "Sequential occurrence of non-small cell and small cell lung cancer with the same EGFR mutation". Lung Cancer. 58 (3): 411–3. doi:10.1016/j.lungcan.2007.05.014. PMID 17601631.
- Mangum MD, Greco FA, Hainsworth JD, Hande KR, Johnson DH (May 1989). "Combined small-cell and non-small-cell lung cancer". J. Clin. Oncol. 7 (5): 607–12. doi:10.1200/JCO.1989.7.5.607. PMID 2540288.
- Benfield JR, Russell LA (1996). "Lung carcinomas". In Baue A, Geha A, Hammond G, Lakes H, Naunheim K (eds.). Glenn's thoracic and cardiovascular surgery (6th ed.). Norwalk CT: Appleton & Lange. pp. 357–389.
- Brambilla E, Moro D, Gazzeri S, et al. (January 1991). "Cytotoxic chemotherapy induces cell differentiation in small-cell lung carcinoma". J. Clin. Oncol. 9 (1): 50–61. doi:10.1200/JCO.1991.9.1.50. PMID 1702146.
- Ruffini E, Rena O, Oliaro A, et al. (November 2002). "Lung tumors with mixed histologic pattern. Clinico-pathologic characteristics and prognostic significance". Eur J Cardiothorac Surg. 22 (5): 701–7. doi:10.1016/S1010-7940(02)00481-5. PMID 12414033.
- Erenpreisa J, Ivanov A, Wheatley SP, et al. (September 2008). "Endopolyploidy in irradiated p53-deficient tumour cell lines: persistence of cell division activity in giant cells expressing Aurora-B kinase". Cell Biol. Int. 32 (9): 1044–56. doi:10.1016/j.cellbi.2008.06.003. PMC 2570184. PMID 18602486.
- Illidge TM, Cragg MS, Fringes B, Olive P, Erenpreisa JA (2000). "Polyploid giant cells provide a survival mechanism for p53 mutant cells after DNA damage". Cell Biol. Int. 24 (9): 621–33. doi:10.1006/cbir.2000.0557. PMID 10964452. S2CID 22391794.
- Higashi K, Clavo AC, Wahl RL (May 1993). "In vitro assessment of 2-fluoro-2-deoxy-D-glucose, L-methionine and thymidine as agents to monitor the early response of a human adenocarcinoma cell line to radiotherapy". J. Nucl. Med. 34 (5): 773–9. PMID 8478710.
- Travis WD; IASLC Staging Committee (January 2009). "Reporting lung cancer pathology specimens. Impact of the anticipated 7th Edition TNM classification based on recommendations of the IASLC Staging Committee". Histopathology. 54 (1): 3–11. doi:10.1111/j.1365-2559.2008.03179.x. PMID 19187176. S2CID 32434208.
- Zelen M (March 1973). "Keynote address on biostatistics and data retrieval". Cancer Chemother Rep. 4 (2): 31–42. PMID 4580860.
- "Lung Cancer Trial Results - National Cancer Institute". Archived from the original on 2010-01-10. Retrieved 2010-03-10.
- "Small Cell Lung Cancer Treatment". 1980-01-01.
- Wittekind C, Greene FL, Henson DE, Hutter RV, Sobin LH (2003). "Lung". In Wittekind C, Greene FL, Henson DE, Hutter RV, Sobin LH (eds.). UICC International Union Against Cancer, TNM Supplement: a commentary on uniform use (3rd ed.). New York: Wiley-Liss. pp. 47, 97–8, 143–9.
- Shepherd FA, Crowley J, Van Houtte P, et al. (December 2007). "The International Association for the Study of Lung Cancer lung cancer staging project: proposals regarding the clinical staging of small cell lung cancer in the forthcoming (seventh) edition of the tumor, node, metastasis classification for lung cancer". J Thorac Oncol. 2 (12): 1067–77. doi:10.1097/JTO.0b013e31815bdc0d. PMID 18090577. S2CID 518643.
- NCCN Clinical Practice Guidelines in Oncology: Small Cell Lung Cancer V.1.2010. National Comprehensive Cancer Network.
- Simon GR, Turrisi A (September 2007). "Management of small cell lung cancer: ACCP evidence-based clinical practice guidelines (2nd edition)". Chest. 132 (3 Suppl): 324S–339S. doi:10.1378/chest.07-1385. PMID 17873178. Archived from the original on 2013-01-12. Retrieved 2012-04-12.
- Ihde DC (December 1984). "Current status of therapy for small cell carcinoma of the lung". Cancer. 54 (11 Suppl): 2722–8. doi:10.1002/1097-0142(19841201)54:2+<2722::AID-CNCR2820541419>3.0.CO;2-P. PMID 6093983. S2CID 8168116.
- Lennox SC, Flavell G, Pollock DJ, Thompson VC, Wilkins JL (November 1968). "Results of resection for oat-cell carcinoma of the lung". Lancet. 2 (7575): 925–7. doi:10.1016/S0140-6736(68)91163-X. PMID 4176258.
- Fox W, Scadding JG (July 1973). "Medical Research Council comparative trial of surgery and radiotherapy for primary treatment of small-celled or oat-celled carcinoma of bronchus. Ten-year follow-up". Lancet. 2 (7820): 63–5. doi:10.1016/S0140-6736(73)93260-1. PMID 4123619.
- "Small Cell Lung Cancer Treatment". 1980-01-01.
- Hage R, Elbers JR, Brutel de la Rivière A, van den Bosch JM (June 1998). "Surgery for combined type small cell lung carcinoma". Thorax. 53 (6): 450–3. doi:10.1136/thx.53.6.450. PMC 1745233. PMID 9713442.
- Shepherd FA, Ginsberg R, Patterson GA, et al. (February 1991). "Is there ever a role for salvage operations in limited small-cell lung cancer?". J. Thorac. Cardiovasc. Surg. 101 (2): 196–200. doi:10.1016/S0022-5223(19)36752-2. PMID 1846927.
- Hann CL, Rudin CM (November 2008). "Management of small-cell lung cancer: incremental changes but hope for the future". Oncology (Williston Park, N.Y.). 22 (13): 1486–92. PMC 4124612. PMID 19133604.
- Nakamura Y, Yamamoto N (May 2009). "[Second-line treatment and targeted therapy of advanced lung cancer]". Gan to Kagaku Ryoho (in Japanese). 36 (5): 710–6. PMID 19461168.
- Adelstein DJ, Tomashefski JF, Snow NJ, Horrigan TP, Hines JD (May 1986). "Mixed small cell and non-small cell lung cancer". Chest. 89 (5): 699–704. doi:10.1378/chest.89.5.699. PMID 3009096. Archived from the original on 2013-04-14.
- Kasimis BS, Wuerker RB, Hunt JD, Kaneshiro CA, Williams JL (August 1986). "Relationship between changes in the histologic subtype of small cell carcinoma of the lung and the response to chemotherapy". Am. J. Clin. Oncol. 9 (4): 318–24. doi:10.1097/00000421-198608000-00009. PMID 3019120.
- Radice PA, Matthews MJ, Ihde DC, et al. (December 1982). "The clinical behavior of "mixed" small cell/large cell bronchogenic carcinoma compared to "pure" small cell subtypes". Cancer. 50 (12): 2894–902. doi:10.1002/1097-0142(19821215)50:12<2894::AID-CNCR2820501232>3.0.CO;2-G. PMID 6291745.
- Dempke WC, Suto T, Reck M (March 2010). "Targeted therapies for non-small cell lung cancer". Lung Cancer. 67 (3): 257–74. doi:10.1016/j.lungcan.2009.10.012. PMID 19914732.
- Ansari J, Palmer DH, Rea DW, Hussain SA (June 2009). "Role of tyrosine kinase inhibitors in lung cancer". Anticancer Agents Med Chem. 9 (5): 569–75. doi:10.2174/187152009788451879. PMID 19519298. Archived from the original on 2013-04-14. Retrieved 2019-07-07.
- "Tarceva® (erlotinib) for mNSCLC & Advanced-Stage Pancreatic Cancer".
- "IRESSA® (gefitinib) Treatment".
- "Head, Neck, and Colorectal Cancer Treatment | ERBITUX (cetuximab)".
- Yang K, Wang YJ, Chen XR, Chen HN (2010). "Effectiveness and safety of bevacizumab for unresectable non-small-cell lung cancer: a meta-analysis". Clin Drug Investig. 30 (4): 229–41. doi:10.2165/11532260-000000000-00000. PMID 20225906. S2CID 3426112.
- "Avastin (Bevacizumab) treatment for MCRC, NSCLC, and MRCC in combination with chemotherapy - Avastin". Archived from the original on 2010-03-30. Retrieved 2010-03-23.
- Joerger M, Omlin A, Cerny T, Früh M (January 2010). "The role of pemetrexed in advanced non small-cell lung cancer: special focus on pharmacology and mechanism of action". Curr Drug Targets. 11 (1): 37–47. doi:10.2174/138945010790030974. PMID 19839929. Archived from the original on 2013-04-14. Retrieved 2019-07-07.
- "ALIMTA | Official Site". Archived from the original on 2010-03-25. Retrieved 2010-03-23.
- Rossi A, Galetta D, Gridelli C (2009). "Biological prognostic and predictive factors in lung cancer". Oncology. 77 (Suppl 1): 90–6. doi:10.1159/000258500. PMID 20130436. S2CID 3223322.
- Jalal S, Ansari R, Govindan R, et al. (January 2009). "Pemetrexed in second line and beyond small cell lung cancer: a Hoosier Oncology Group phase II study". J Thorac Oncol. 4 (1): 93–6. doi:10.1097/JTO.0b013e31818de1e6. PMID 19096313. S2CID 32861919.
- Chee CE, Jett JR, Bernath AM, et al. (May 2010). "Phase 2 trial of pemetrexed disodium and carboplatin in previously untreated extensive-stage small cell lung cancer, N0423". Cancer. 116 (10): 2382–9. doi:10.1002/cncr.24967. PMC 5673252. PMID 20209614.
- Socinski MA, Smit EF, Lorigan P, et al. (October 2009). "Phase III study of pemetrexed plus carboplatin compared with etoposide plus carboplatin in chemotherapy-naive patients with extensive-stage small-cell lung cancer". J. Clin. Oncol. 27 (28): 4787–92. doi:10.1200/JCO.2009.23.1548. PMID 19720897.
- "Home - PubMed - NCBI". Archived from the original on 2015-02-13. Retrieved 2019-11-13.
- Spiro SG, Tanner NT, Silvestri GA, et al. (January 2010). "Lung cancer: progress in diagnosis, staging and therapy". Respirology. 15 (1): 44–50. doi:10.1111/j.1440-1843.2009.01674.x. PMID 20199634. S2CID 205480543.
- Stahel RA (July 2007). "Adenocarcinoma, a molecular perspective". Ann. Oncol. 18 (Suppl 9): ix147–9. doi:10.1093/annonc/mdm310. PMID 17631568.
- Ji H, Li D, Chen L, et al. (June 2006). "The impact of human EGFR kinase domain mutations on lung tumorigenesis and in vivo sensitivity to EGFR-targeted therapies". Cancer Cell. 9 (6): 485–95. doi:10.1016/j.ccr.2006.04.022. PMID 16730237.
- Shigematsu H, Gazdar AF (January 2006). "Somatic mutations of epidermal growth factor receptor signaling pathway in lung cancers". Int. J. Cancer. 118 (2): 257–62. doi:10.1002/ijc.21496. PMID 16231326. S2CID 24211404.
- Riely GJ, Politi KA, Miller VA, Pao W (December 2006). "Update on epidermal growth factor receptor mutations in non-small cell lung cancer". Clin. Cancer Res. 12 (24): 7232–41. doi:10.1158/1078-0432.CCR-06-0658. PMID 17189394. S2CID 651469.
- Tatematsu A, Shimizu J, Murakami Y, et al. (October 2008). "Epidermal growth factor receptor mutations in small cell lung cancer". Clin. Cancer Res. 14 (19): 6092–6. doi:10.1158/1078-0432.CCR-08-0332. PMID 18829487. S2CID 1258076.
- Fukui T, Tsuta K, Furuta K, et al. (November 2007). "Epidermal growth factor receptor mutation status and clinicopathological features of combined small cell carcinoma with adenocarcinoma of the lung". Cancer Sci. 98 (11): 1714–9. doi:10.1111/j.1349-7006.2007.00600.x. PMID 17784875. S2CID 46201906.
- Zakowski MF, Ladanyi M, Kris MG (July 2006). "EGFR mutations in small-cell lung cancers in patients who have never smoked". N. Engl. J. Med. 355 (2): 213–5. doi:10.1056/NEJMc053610. PMID 16837691.
- Okamoto I, Araki J, Suto R, Shimada M, Nakagawa K, Fukuoka M (June 2006). "EGFR mutation in gefitinib-responsive small-cell lung cancer". Ann. Oncol. 17 (6): 1028–9. doi:10.1093/annonc/mdj114. PMID 16357019.
- De Oliveira Duarte Achcar R, Nikiforova MN, Yousem SA (May 2009). "Micropapillary lung adenocarcinoma: EGFR, K-ras, and BRAF mutational profile". Am. J. Clin. Pathol. 131 (5): 694–700. doi:10.1309/AJCPBS85VJEOBPDO. PMID 19369630.
- Motoi N, Szoke J, Riely GJ, et al. (June 2008). "Lung adenocarcinoma: modification of the 2004 WHO mixed subtype to include the major histologic subtype suggests correlations between papillary and micropapillary adenocarcinoma subtypes, EGFR mutations and gene expression analysis". Am. J. Surg. Pathol. 32 (6): 810–27. doi:10.1097/PAS.0b013e31815cb162. PMID 18391747. S2CID 34805327.
- Zakowski MF, Hussain S, Pao W, et al. (March 2009). "Morphologic features of adenocarcinoma of the lung predictive of response to the epidermal growth factor receptor kinase inhibitors erlotinib and gefitinib". Arch. Pathol. Lab. Med. 133 (3): 470–7. doi:10.5858/133.3.470. PMC 4016915. PMID 19260752.
- Horn L, Dahlberg SE, Sandler AB, et al. (December 2009). "Phase II study of cisplatin plus etoposide and bevacizumab for previously untreated, extensive-stage small-cell lung cancer: Eastern Cooperative Oncology Group Study E3501". J. Clin. Oncol. 27 (35): 6006–11. doi:10.1200/JCO.2009.23.7545. PMC 2793043. PMID 19826110.
- Spigel DR, Greco FA, Zubkus JD, et al. (December 2009). "Phase II trial of irinotecan, carboplatin, and bevacizumab in the treatment of patients with extensive-stage small-cell lung cancer". J Thorac Oncol. 4 (12): 1555–60. doi:10.1097/JTO.0b013e3181bbc540. PMID 19875975. S2CID 9770840.
- Zinner RG, Novello S, Peng G, Herbst R, Obasaju C, Scagliotti G (March 2010). "Comparison of patient outcomes according to histology among pemetrexed-treated patients with stage IIIB/IV non-small-cell lung cancer in two phase II trials". Clin Lung Cancer. 11 (2): 126–31. doi:10.3816/CLC.2010.n.017. PMID 20199979.
- Sica G, Wagner PL, Altorki N, et al. (December 2008). "Immunohistochemical expression of estrogen and progesterone receptors in primary pulmonary neuroendocrine tumors". Arch. Pathol. Lab. Med. 132 (12): 1889–95. doi:10.5858/132.12.1889. PMID 19061285.
- Sehested M, Hirsch FR, Osterlind K, Olsen JE (February 1986). "Morphologic variations of small cell lung cancer. A histopathologic study of pretreatment and posttreatment specimens in 104 patients". Cancer. 57 (4): 804–7. doi:10.1002/1097-0142(19860215)57:4<804::AID-CNCR2820570420>3.0.CO;2-E. PMID 3002587.
- Hirsch FR, Osterlind K, Hansen HH (December 1983). "The prognostic significance of histopathologic subtyping of small cell carcinoma of the lung according to the classification of the World Health Organization. A study of 375 consecutive patients". Cancer. 52 (11): 2144–50. doi:10.1002/1097-0142(19831201)52:11<2144::AID-CNCR2820521128>3.0.CO;2-N. PMID 6313181.
- Choi H, Byhardt RW, Clowry LJ, et al. (October 1984). "The prognostic significance of histologic subtyping in small cell carcinoma of the lung". Am. J. Clin. Oncol. 7 (5): 389–97. doi:10.1097/00000421-198410000-00001. PMID 6095638. S2CID 20779324.
- Shepherd FA, Ginsberg RJ, Haddad R, et al. (August 1993). "Importance of clinical staging in limited small-cell lung cancer: a valuable system to separate prognostic subgroups. The University of Toronto Lung Oncology Group". J. Clin. Oncol. 11 (8): 1592–7. doi:10.1200/JCO.1993.11.8.1592. PMID 8393098.
- Jänne PA, Freidlin B, Saxman S, et al. (October 2002). "Twenty-five years of clinical research for patients with limited-stage small cell lung carcinoma in North America". Cancer. 95 (7): 1528–38. doi:10.1002/cncr.10841. PMID 12237922. S2CID 2867883.
- Videtic GM, Truong PT, Ash RB, et al. (2005). "Does sex influence the impact that smoking, treatment interruption and impaired pulmonary function have on outcomes in limited stage small cell lung cancer treatment?". Can. Respir. J. 12 (5): 245–50. doi:10.1155/2005/376404. PMID 16107912.
- Dowell JE (January 2010). "Small cell lung cancer: are we making progress?". Am. J. Med. Sci. 339 (1): 68–76. doi:10.1097/MAJ.0b013e3181bccef5. PMID 19996730. S2CID 24132833.
- Stupp R, Monnerat C, Turrisi AT, Perry MC, Leyvraz S (July 2004). "Small cell lung cancer: state of the art and future perspectives". Lung Cancer. 45 (1): 105–17. doi:10.1016/j.lungcan.2003.12.006. PMID 15196740.
- American Cancer Society. Cancer Facts & Figures 2009. Atlanta: American Cancer Society; 2009.
- Quoix E, Fraser R, Wolkove N, Finkelstein H, Kreisman H (August 1990). "Small cell lung cancer presenting as a solitary pulmonary nodule". Cancer. 66 (3): 577–82. doi:10.1002/1097-0142(19900801)66:3<577::AID-CNCR2820660328>3.0.CO;2-Y. PMID 2163746. S2CID 36187070.
- Sher T, Dy GK, Adjei AA (March 2008). "Small cell lung cancer". Mayo Clin. Proc. 83 (3): 355–67. doi:10.4065/83.3.355. PMID 18316005. S2CID 36369601.
- Moran CA, Suster S, Coppola D, Wick MR (February 2009). "Neuroendocrine carcinomas of the lung: a critical analysis". Am. J. Clin. Pathol. 131 (2): 206–21. doi:10.1309/AJCP9H1OTMUCSKQW. PMID 19141381.
- "Find NCI-Supported Clinical Trials". 2016-06-23.
External links
- Lung Cancer Home Page. The National Cancer Institute site containing further reading and resources about lung cancer.
- . World Health Organization Histological Classification of Lung and Pleural Tumours. 4th Edition.
