Clear-cell renal-cell carcinoma

Clear-cell renal-cell carcinoma (CCRCC) is a type of renal-cell carcinoma.

Genetics

Cytogenetics

  • Alterations of chromosome 3p segments occurs in 70–90% of CCRCCs
  • Inactivation of von Hippel–Lindau disease (VHL) gene by gene mutation and promoter hypermethylation
  • Gain of chromosome 5q
  • Loss of chromosomes 8p, 9p, and 14q

Molecular genetics

Several frequently mutated genes were discovered in CCRCC: VHL, KDM6A/UTX, SETD2, KDM5C/JARID1C and MLL2. PBRM1 is also commonly mutated in CCRCC.

Histogenesis

CCRCC is derived from the proximal convoluted tubule.

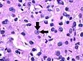
Microscopy

Generally, the cells have a clear cytoplasm, are surrounded by a distinct cell membrane and contain round and uniform nuclei.

Microscopically, CCRCCs are graded by the ISUP/WHO as follows:[1][2]

  • Grade 1: Inconspicuous and basophilic nucleoli at magnification of 400 times
  • Grade 2: Clearly visible and eosinophilic nucleoli at magnification of 400 times
  • Grade 3: Clearly visible nucleoli at magnification of 100 times
  • Grade 4: Extreme pleomorphism or rhabdoid and/or sarcomatoid morphology

Epidemiology

  • CCRCC most commonly affects male patients in their sixties and seventies.
  • Majority of cases arise sporadically.
  • Only 2–4% of the cases presenting as part of an inherited cancer syndrome, such as von Hippel–Lindau disease.

Images

References

  1. YiFen Zhang. "What is the ISUP/WHO grading system for renal cell carcinoma (RCC)?". Medscape. Updated: Jul 02, 2019
  2. Moch, H. (2016). "WHO-ISUP-Graduierungssystem für Nierenkarzinome". Der Pathologe. 37 (4): 355–360. doi:10.1007/s00292-016-0171-y. ISSN 0172-8113.
This article is issued from Wikipedia. The text is licensed under Creative Commons - Attribution - Sharealike. Additional terms may apply for the media files.