Arias-Stella reaction
Arias-Stella reaction, also Arias-Stella phenomenon, is a benign change in the endometrium associated with the presence of chorionic tissue.[1]
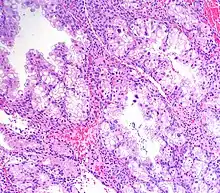
.jpg.webp)
Micrograph showing Arias-Stella reaction in endometrium
Arias-Stella reaction is due to progesterone primarily. Cytologically, it looks like a malignancy and, historically, it was diagnosed as endometrial cancer.[1]
Significance
It is significant only because it can be misdiagnosed as a cancer. It may be seen in a completely normal pregnancy.
Diagnosis
It is characterized by nuclear enlargement and may also have any of the following: an irregular nuclear membrane, granular chromatin, centronuclear vacuolization, and pseudonuclear inclusions.[1]
Five subtypes are recognized:[1]
- Minimal atypia.
- Early secretory pattern.
- Secretory or hypersecretory pattern.
- Regenerative, proliferative or nonsecretory pattern.
- Monstrous cell pattern.
History
It was first described by Javier Arias Stella, a Peruvian pathologist, in 1954.[2]
References
- Arias-Stella, J. (Jan 2002). "The Arias-Stella reaction: facts and fancies four decades after". Adv Anat Pathol. 9 (1): 12–23. doi:10.1097/00125480-200201000-00003. PMID 11756756. S2CID 26249687.
- Arias-Stella, J. (Aug 1954). "Atypical endometrial changes associated with the presence of chorionic tissue". Arch Pathol. 58 (2): 112–28. PMID 13170908.
Bibliography
- Textbook of Obstetrics by D.C. Dutta Page no. 180. ISBN 81-7381-142-3
This article is issued from Wikipedia. The text is licensed under Creative Commons - Attribution - Sharealike. Additional terms may apply for the media files.