Angioleiomyoma
Angioleiomyoma (vascular leiomyoma, angiomyoma) of the skin is thought to arise from vascular smooth muscle, and is generally acquired.[1]
| Angioleiomyoma | |
|---|---|
![]() | |
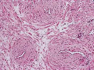
| Angioleiomyoma, smooth muscles encircling dilatated blood vessels | |
| Specialty | Oncology, rheumatology |
See also
References
- Freedberg, et al. (2003). Fitzpatrick's Dermatology in General Medicine. (6th ed.). Page 1033. McGraw-Hill. ISBN 0-07-138076-0.
External links
This article is issued from Wikipedia. The text is licensed under Creative Commons - Attribution - Sharealike. Additional terms may apply for the media files.
